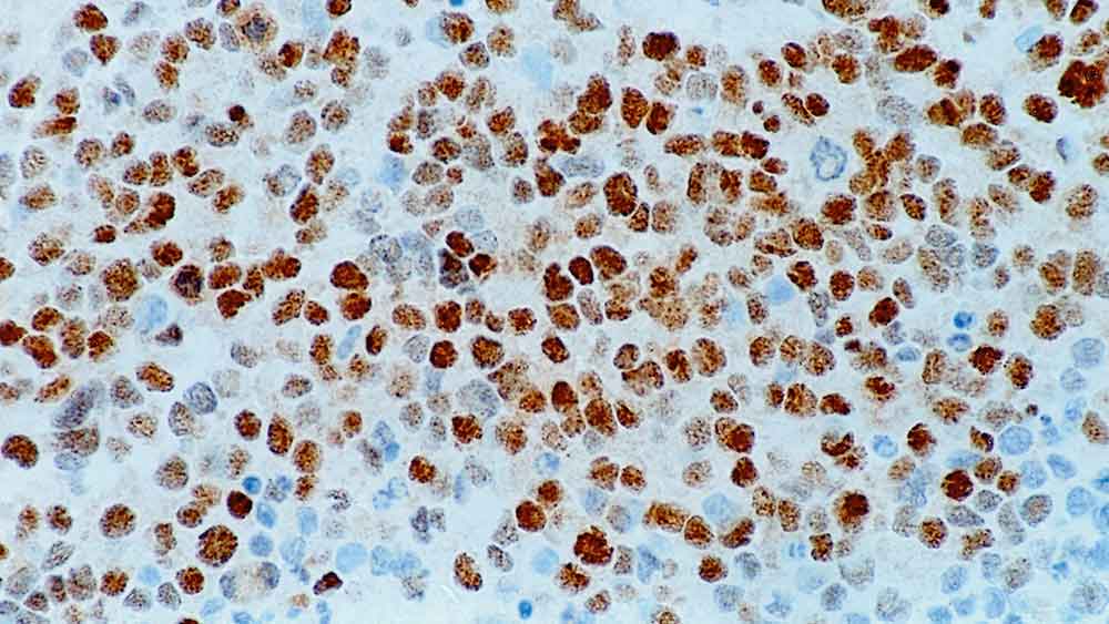
Human rhabdomyosarcoma: immunohistochemical staining for Myf-4 protein. Note staining of a proportion of tumor cell nuclei. Myogenin (Myf-4): clone LO26

Myogenin (Myf-4)

Hintergrund des Antigens

Rhabdomyosarkome gehören zur Klasse der von Myoblasten abgeleiteten Weichteilsarkome, die normalerweise eine Reihe an muskelspezifischen Genen exprimieren und vor allem bei Kindern und jungen Erwachsenen auftreten.

Die Differenzierung myogener Zellen wird durch eine Reihe regulatorischer Gene, einschließlich MyoD1, Myogenin, Myf-5 und Myf-6, gesteuert.

Myf-4 ist das humane Homolog von Myogenin. Dessen Genprodukt sammelt sich, zusammen mit dem von Myf-3, in den Kernen der differenzierten Zellen an.

Produkte

Produkte

PA0226-U
7ml Myf-4 Bond RTU Primary
Verfügbarkeit überprüfen
MYF-4-L-CE
1ML NCL-L-Myf-4
Verfügbarkeit überprüfen
PA0226
7ml Myf-4 Bond RTU Primary
Verfügbarkeit überprüfen
MYF-4-L-U
1ML NCL-L-Myf-4
Verfügbarkeit überprüfen

Downloads

Downloads

PA0226-U

MYF-4-L-CE

PA0226

MYF-4-L-U

Zuletzt angesehen