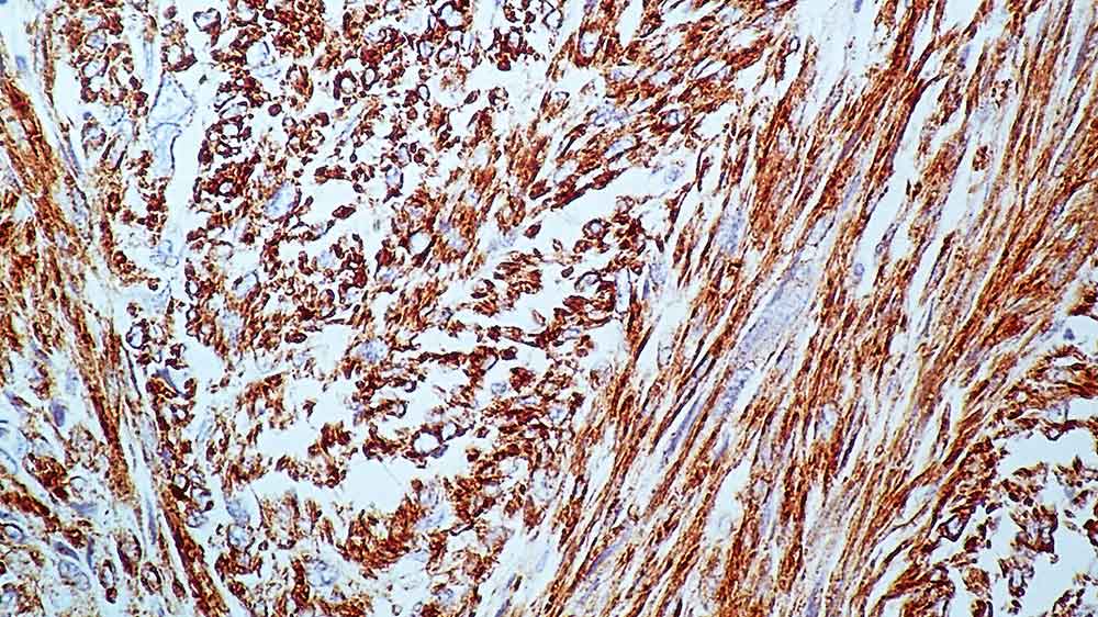
Human leiomyosarcoma: immunohistochemical staining for Muscle Specific Actin. Muscle Specific Actin: clone HHF35

Muscle Specific Actin

Antigener Hintergrund

Aktine sind Proteinbestandteile der Mikrofilamente, der in den meisten Zellen vorhandenen, ubiquitären Zytoskelettelemente.

Aktine können biochemisch und immunologisch in drei Untergruppen unterteilt werden: Alpha-Aktine sind im Muskelgewebe, Beta- und Gamma-Aktine in Nicht-Muskelzellen vorhanden, wobei eine kleinere Untergruppe der Gamma-Aktine auch in Muskelzellen zu finden ist.

NCL-MSA ist für Alpha- und Gamma-Aktine der glatten Muskulatur (42 kD) spezifisch, die in den gestreiften Muskelfasern des Myokards, der Skelettmuskulatur, arteriellen Zellwand, glatten Muskelschicht des gesamten Magen-Darm-Trakts, der myometrialen glatten Muskulatur, des Prostatastromas und der Blasenwand exprimiert werden sollen.

Produkte

Produkte

PA0258-U
7ml MuscSpecAct Bond RTU Prim
Verfügbarkeit überprüfen
MSA-594-L-CE
1ml NCL-L-MSA-594
Verfügbarkeit überprüfen
PA0258
7ml MuscSpecAct Bond RTU Prim
Verfügbarkeit überprüfen
MSA-594-L-U
1ml NCL-L-MSA-594
Verfügbarkeit überprüfen

Downloads

Downloads

PA0258-U

MSA-594-L-CE

PA0258

MSA-594-L-U

Zuletzt angesehen