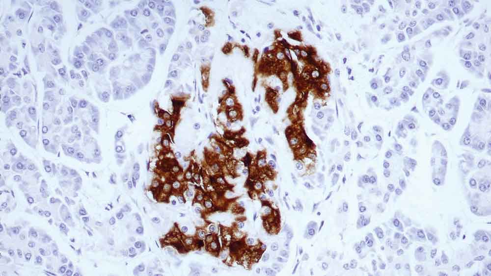
Human pancreas: immunohistochemical staining for insulin-containing cells. Note intense cytoplasmic staining. Insulin: clone 2D11-H5

Insulin

Hintergrund des Antigens

Insulin ist ein Hormon, das von den Beta-Zellen der Langerhans-Inseln in der Bauchspeicheldrüse sekretiert wird. Es fördert die Glykogenspeicherung, die Bildung von Triglyceriden und die Synthese von Proteinen und Nukleinsäuren.

Immunzytochemische Untersuchungen haben das Vorhandensein von Insulin im Zytoplasma bestimmter Inseltumore gezeigt.

In einigen Fällen sind die insulinpositiven Granula spärlich vorhanden und bilden einen Rand entlang der Zellmembran.

Produkte

Produkte

PA0620-U
7ml Insulin Bond RTU Primary
Verfügbarkeit überprüfen
PA0620
7ml Insulin Bond RTU Primary
Verfügbarkeit überprüfen

Downloads

Downloads

PA0620-U

PA0620

Zuletzt angesehen