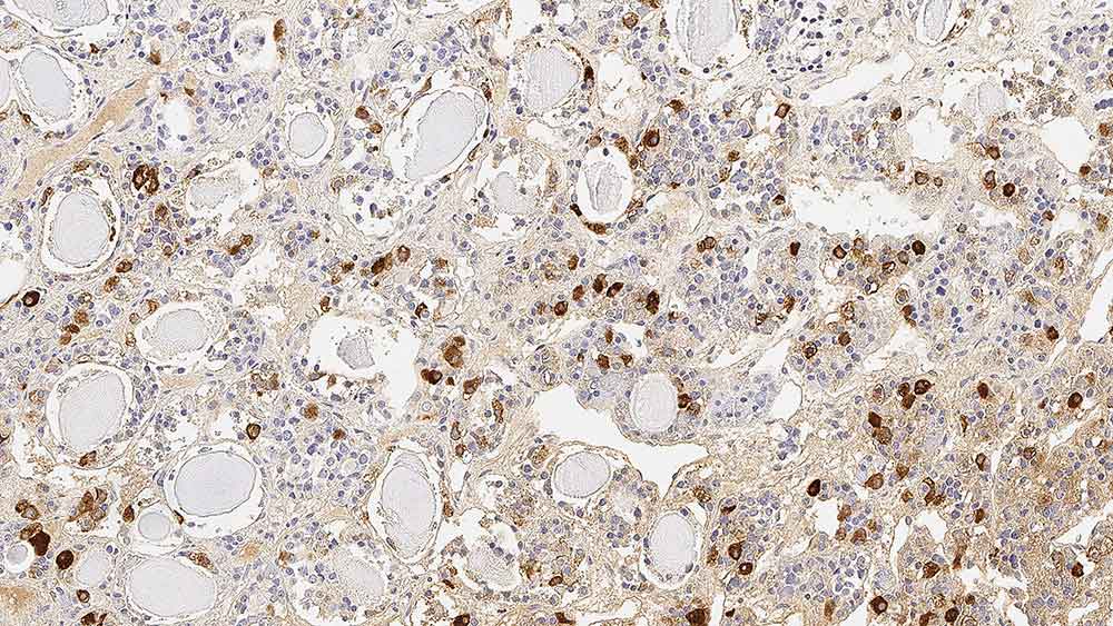
Human pituitary: immunohistochemical staining for HFSH. Note cytoplasmic staining of gonadotrophic cells. Human Follicle Stimulating Hormone (beta 2): clone INN-hFSH-60

HFSH (beta 2) (Human Follicle Stimulating Hormone)

Hintergrund des Antigens

Das Follikel stimulierende Hormon (FSH) ist ein Hypophysenhormon von 35 kD, das bei Frauen an der Follikelreifung in den Eierstöcken und der Estrogensekretion beteiligt ist.

Bei Männern stimuliert FSH die Testosteronproduktion.

Produkte

Produkte

PA0693-U
7ml HFSH Bond RTU Primary
Verfügbarkeit überprüfen
PA0693
7ml HFSH Bond RTU Primary
Verfügbarkeit überprüfen

Downloads

Downloads

PA0693-U

PA0693

Zuletzt angesehen