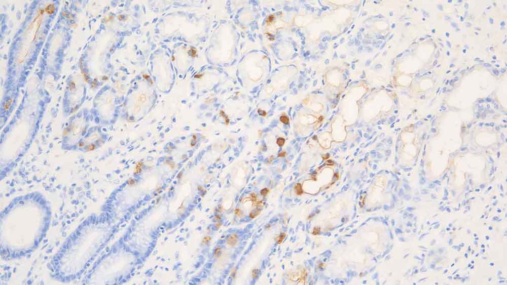
Normal human stomach: immunohistochemical staining for Gastrin. Note: intense cytoplasmic staining of neuroendocrine cells. Gastrin: Polyclonal

Gastrin

Hintergrund des Antigens

Gastrin, ein Polypeptidhormon, kommt in der Natur in drei Formen vor:Gastrin-14, Gastrin-17 und Gastrin-34.

Sowohl bei primären als auch bei sekundären G-Zellhyperplasien ist eine Clusterbildung der immunreaktiven Zellen charakteristisch, die manchmal zu Ausknospungen an den Schleimdrüsen führen kann.

NCL-GASp reagiert mit nicht-sulfatiertem (I) und sulfatiertem (II) Gastrin-17 ebenso wie mit Gastrin-34. Dieser Antikörper zeigt eine Kreuzreaktion mit Cholecystokinin-Oktapeptid.

NCL-GASp markiert Gastrin- oder Gastrinanaloga-produzierende Zellen.

Produkte

Produkte

PA0681
7ml Gastrin Bond RTU Primary
Verfügbarkeit überprüfen

Downloads

Downloads

PA0681

Zuletzt angesehen