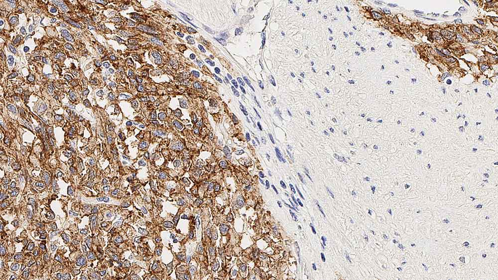
Human colon, gastrointestinal stromal tumor: immunohistochemical staining for DOG-1. Note membrane staining of neoplastic cells. DOG-1: clone K9

DOG-1

Hintergrund des Antigens

DOG-1 ist ein 986-Aminosäuren-Protein, dessen Funktion unbekannt ist und das vorwiegend auf der Plasmamembran von gastrointestinalen Stromatumoren (GIST) exprimiert wird. In seltenen Fällen ist eine Expression auch bei anderen Weichteiltumoren zu verzeichnen, die aufgrund ihres Erscheinungsbildes mit GIST verwechselt werden können.

Eine Immunreaktivität auf DOG-1 soll bei 97,8 % der bewertbaren GIST nachweisbar sein, einschließlich aller KIT-negativen GIST.

Die Reaktivität auf DOG-1 wurde als Hilfsmittel bei der Identifizierung von GIST vorgeschlagen, einschließlich der Mutationen des Platelet-Derived Growth Factor Receptor Alpha, die das KIT-Antigen ebenfalls nicht exprimieren.

Mit Verdünnungsmitteln auf PBS-Basis wird möglicherweise eine stärkere Hintergrundfärbung erzielt.

Produkte

Produkte

DOG-1-L
1ml NCL-L-DOG-1
Verfügbarkeit überprüfen
DOG-1-L-CE
1ml NCL-L-DOG-1
Verfügbarkeit überprüfen
PA0219
7ml DOG-1 Bond RTU Primary
Verfügbarkeit überprüfen
DOG-1-L-U
1ml NCL-L-DOG-1
Verfügbarkeit überprüfen
PA0219-U
7ml DOG-1 Bond RTU Primary
Verfügbarkeit überprüfen

Downloads

Downloads

DOG-1-L

DOG-1-L-CE

PA0219

DOG-1-L-U

PA0219-U

Zuletzt angesehen