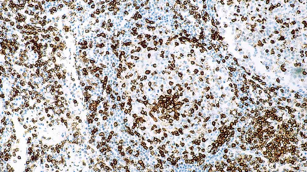
Human tonsil: immunohistochemical staining with CD45RO: clone UCHL1

CD45RO

Das CD45RO-Molekül, eine Isoform von CD45 von 180 kD, soll auf 48 % aller T-Lymphozyten im peripheren Blut, 37 % der CD4-positiven Lymphozyten, 80 % aller Thymozyten und der Mehrzahl aller T-Zell-Malignome exprimiert werden.

Monozyten und Granulozyten zeigen eine Oberflächenexpression des Antigens, während Makrophagen im Gewebe eine zytoplasmatische Expression zeigen.

In manchen Fällen lassen sich die Färbeergebnisse mithilfe der hitzeinduzierten Epitopdemaskierung (heat induced epitope retrieval, HIER) verbessern.

Produkte

Produkte

UCHL1-L
1ml NCL-L-UCHL1
Verfügbarkeit überprüfen
PA0146
7ml CD45RO Bond RTU Primary
Verfügbarkeit überprüfen

Downloads

Downloads

UCHL1-L

PA0146

Zuletzt angesehen