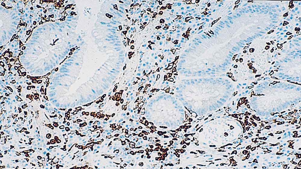
Human colon, ulcerative colitis: immunohistochemical staining for CD16. Note intense membrane staining of infiltrating natural killer cells, granulocytes and activated macrophages. CD16: clone 2H7

CD16

Hintergrund des Antigens

Das CD16-Antigen weist ein Molekulargewicht von 50 bis 70 kD auf. Es handelt sich um einen niedrig affinen Rezeptor für den Fc-Teil komplexierter IgG (Fc/gamma RIII), der auf natürlichen Killerzellen (NK-Zellen), Granulozyten, aktivierten Makrophagen und einer Untergruppe von T-Zellen exprimiert wird, die alpha-beta- oder gamma-delta-T-Zell-Antigen-Rezeptoren exprimieren. Das CD16-Antigen liegt als Glycosylphosphatidylinositol (GPI)-Anker-Protein und als Transmembranprotein in NK-Zellen vor.

Produkte

Produkte

CD16-L-CE
1ml NCL-L-CD16
Verfügbarkeit überprüfen
CD16-L-U
1ml NCL-L-CD16
Verfügbarkeit überprüfen

Downloads

Downloads

CD16-L-CE

CD16-L-U

Zuletzt angesehen