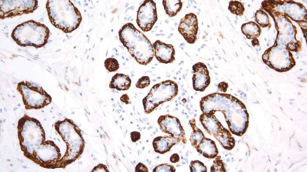
Human prostate: immunohistochemical staining for Calponin (Basic). Note staining of basal cells. Calponin (Basic): clone 26A11

Calponin (Basic)

Hintergrund des Antigens

Basisches Calponin (Calponin-h1) ist ein Protein von 34 kD, das in seiner N-terminalen Region eine starke Homologie zu den sauren und neutralen Calponinen aufweist. Dieses Protein bindet Aktin, Tropomyosin und Calmodulin und ist vermutlich an der Steuerung von Kontraktionen der glatten Muskulatur beteiligt.

Die Expression von basischem Calponin soll sich auf die Zellen der glatten Muskulatur beschränken, und es gilt als Marker für den differenzierten kontraktilen Phänotyp der sich entwickelnden glatten Muskulatur. Geht dieses Protein verloren, werden Zellen der glatten Muskulatur der Gefäße in einen synthetischen entdifferenzierten Phänotyp umgewandelt. Dies ist ein entscheidendes Stadium sowohl bei der Arteriosklerose als bei der Restenose von Koronararterien nach einer Ballonangioplastie.

Es wird angenommen, dass basisches Calponin seine Wirkung über das kortikale Aktin-Zytoskelett entfaltet und daher die Proliferation, den transformierten Phänotyp und das metastatische Potenzial von Tumorzellen beeinflusst.

Die mRNA von basischem Calponin wird in der glatten Muskulatur von Prostata, Darm und Aorta exprimiert, während die mRNA von neutralem und saurem Calponin in Muskelgeweben exprimiert werden, die nicht aus glatter Muskulatur bestehen, z. B. Herz, Plazenta, Lunge, Niere, Pankreas, Milz, Hoden und Eierstöcke sowie Gewebe, die glatte Muskulatur enthalten.

Produkte

Produkte

PA0416-U
7ml Calponin B Bond RTU Primar
Verfügbarkeit überprüfen
PA0416
7ml Calponin B Bond RTU Primar
Verfügbarkeit überprüfen

Downloads

Downloads

PA0416-U

PA0416

Zuletzt angesehen