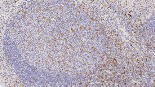
Human Tonsil: Immunohistochemistry staining of TIM-3. TIM-3: clone EPR22241
Human Tonsil: Immunohistochemistry staining of TIM-3. TIM-3: clone EPR22241
TIM-3
Hintergründe des Antigens TIM-3 (T-cell Immunoglobulin and Mucin Domain-Containing 3, Hepatitis A Virus Cellular Receptor, HAVCR2). TIM-3 ist ein Typ-ITransmembran, das sowohl auf Tumor- als auch Immunzellen exprimiert werden kann. Es wird auf mehrere Immunzellen exprimiert, einschließlich Typ-1-T-Helfer(Th1)-Zellen, Th17- und CD8+ T-Zellen, tumorinfiltrierenden Lymphozyten, regulatorischen T-Zellen (TReg) und körpereigenen Immunzellen.
Haftungsausschluss TIM-3 wird für den Nachweis bestimmter Antigene in normalem und neoplastischem Gewebe als zusätzliches Hilfsmittel zur herkömmlichen Histopathologie unter Verwendung nicht-immunologischer histochemischer Färbemittel empfohlen.
Produkte
Produkte
PA0360
7mL TIM-3 (EPR22241) BOND RTU Primary
Product is out of stock
Due to manufacturing & supply chain issues, this product is currently unavailable. You may place your order and it will be fulfilled when the product is back in stock. For more help, please reach out to customer service at +1 844 534 2262 or nonurgentcs@leicabiosystems.com
Product is limited in stock
Product availability is limited, but products are in continuous production. Your order will be processed as normal and may take additional days to ship.