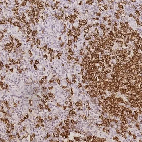
Follicular B cell lymphoma. immunohistochemistry staining for CD20. Note the strong membranous staining. CD20: Clone L26

CD20

Hintergrund des Antigens

Das CD20-Antigen ist ein nicht-glykosyliertes Phosphoprotein von etwa 33 kD, das auf normalen und malignen humanen B-Zellen exprimiert wird und von dem man annimmt, dass es als Rezeptor während der B-Zell-Aktivierung und -Differenzierung fungiert.

Die Expression des CD20-Antigens wurde auf normalen B-Zellen aus dem peripheren Blut, in Lymphknoten, Milz, Tonsillen, Knochenmark, bei akuten Leukämien und chronischen lymphatischen Leukämien nachgewiesen.

Produkte

Produkte

CD20-L26-L-CE
1ml NCL-L-CD20-L26
PA0200
7ml CD20 (L26) Bond RTU Primary
PA0359
30ml CD20 (L26) Bond RTU Primary

Downloads

Downloads

CD20-L26-L-CE

PA0200

PA0359

Zuletzt angesehen