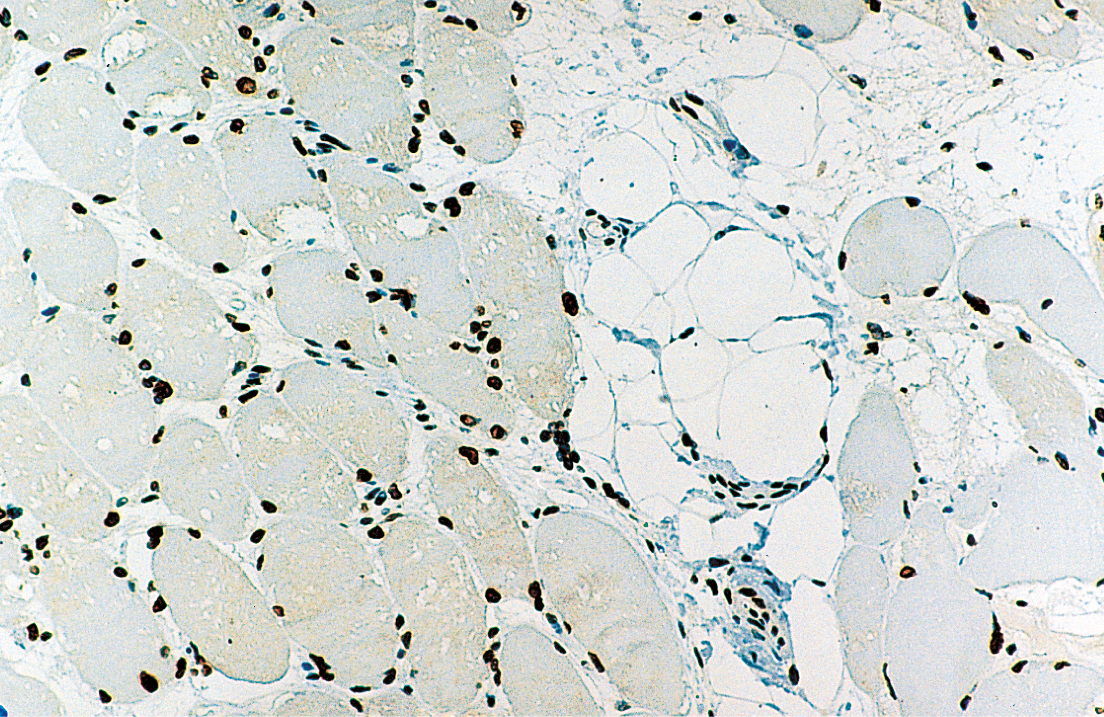
Human skeletal muscle: immunohistochemical staining for Emerin. Note perinuclear staining of all cell nuclei. Emerin: clone 4G5

Emerin

Hintergrund des Antigens

Die Emery-Dreifuss-Muskeldystrophie (EDMD) ist eine spät beginnende, an Chromosom X gekoppelte rezessive Erkrankung, für die eine allmählich progrediente Muskelverkürzung, ein Abbau der Skelettmuskulatur und eine Kardiomyopathie charakteristisch sind, die sich in der Regel als Herzblock äußert.

Die Kontrakturen treten an den Ellenbogen, Achillessehnen und der postzervikalen Muskulatur auf, mit einer humero-peroneal betonten Muskelschwäche in der Frühphase der Erkrankung. Das STA-Gen, dessen Lokus sich auf Xq28 befindet, kodiert ein serinreiches Protein von 34 kD, Emerin, das im Gewebe allgegenwärtig ist und dessen höchste Konzentrationen in der Skelett- und Herzmuskulatur nachweisbar sind.

Emerin befindet sich in der Kernmembran normaler Muskelzellen, und sein Mangel spielt eine wesentliche Rolle bei der Pathologie der EDMD. NCL-EMERIN ist hilfreich zum Nachweis des normalen Genprodukts von STA.

Produkte

Produkte

EMERIN-CE
1ml NCL-EMERIN

Downloads

Downloads

EMERIN-CE

SDS

Zuletzt angesehen