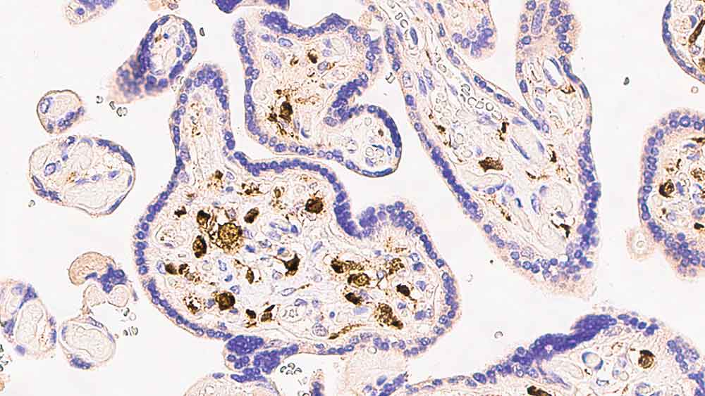
Human placenta: immunohistochemical staining of Factor XIIIa localized in the Hofbauer cells of the placental villi. Factor XIIIa (Blood Coagulation Factor XIIIa): clone E980.1

Factor XIIIa

Hintergrund des Antigens

Faktor XIIIa, auch bekannt als Fibrinoligase oder Fibrin-stabilisierender Faktor, ist das letzte Enzym, das in der Blutgerinnungskaskade generiert wird. Es handelt sich um eine Ca2+-abhängige Transglutaminase oder ein transamidierendes Enzym, das intermolekulare Epsilon-Gamma-Glutamyl-Lysin-Vernetzungen zwischen Fibrinmolekülen bildet, die zur mechanischen Stabilisierung von Fibringerinnseln führen und diese widerstandsfähig gegen Proteolyse machen.

Faktor XIIIa könnte auch eine Funktion bei der Stabilisierung von Zelloberflächenmolekülen und -membranen haben. Ca2+-abhängige Transglutaminasen mit Thiol im aktiven Zentrum sind im tierischen Gewebe weit verbreitet und wurden mit der Zellproliferation, der Embryonalentwicklung und dem Zellwachstum durch Proliferation des Stromas der Brust und von Epithelelementen in Verbindung gebracht.

Wie die meisten collagen-haltigen Bindegewebe enthält das normale Stroma der Brust lokale Populationen von CD34-positiven interstitiellen dendritischen Zellen und vereinzelte Faktor XIIIa-positive collagen-assoziierte Dendrophagen. Faktor XIIIa wurde auf seine Expression in normaler und entzündeter Haut erforscht. Bei den Faktor XIIIa-positiven Zellen in der menschlichen Haut handelt es sich um eine spezielle Population von dermalen dendritischen Zellen aus dem Knochenmark, die sich eindeutig von den Langerhans'schen Zellen unterscheiden, aber bestimmte Eigenschaften mit den mononukleären Phagozyten gemeinsam haben.

Bei benignen Hauterkrankungen wie entzündlichen Dermatosen (z. B. Neurodermitis und Psoriasis) ist ein Anstieg der Faktor XIIIa-positiven Zellen in der oberen Dermis, eng assoziiert mit den Lymphozyten, beschrieben.

Produkte

Produkte

PA0449
7ml Factor XIIIa Bond RTU Prim

Downloads

Downloads

PA0449

Zuletzt angesehen