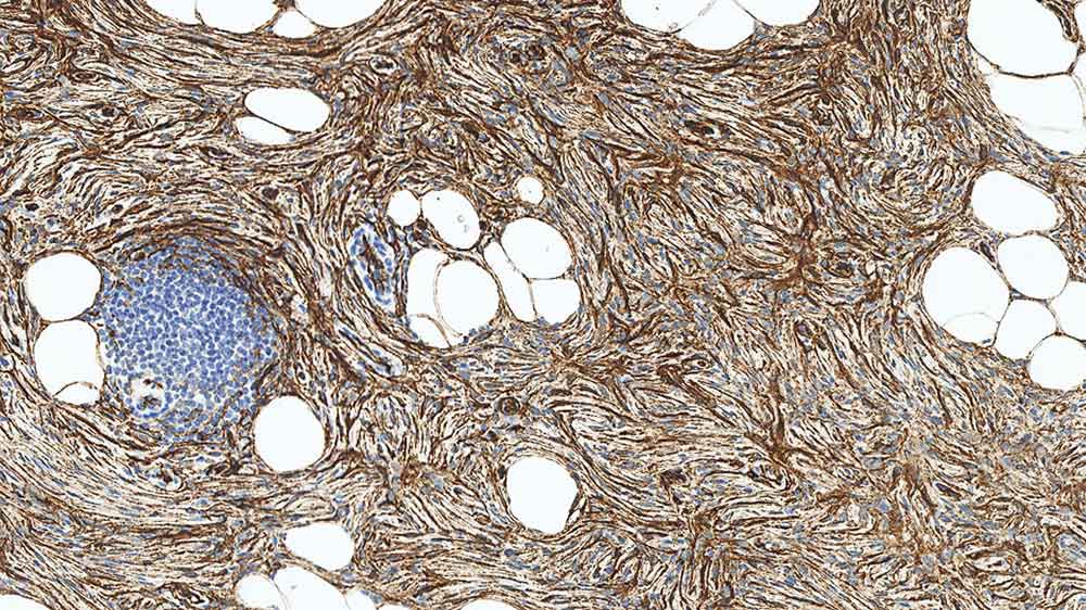
Dermatofibrosarcoma protuberans: immunohistochemical staining for CD34. Note the staining of neoplastic spindle cells. CD34: clone QBEnd/10

CD34

Hintergrund des Antigens

Das CD34-Antigen ist ein einkettiges Glykoprotein mit einem Molekulargewicht von 110 kD.

Es wird selektiv in humanen hämatopoetischen Vorläuferzellen lymphatischen und myeloischen Ursprungs exprimiert.

Das CD34-Antigen wird außerdem im Gefäßendothel exprimiert.

Bei Klon QBEnd/10 ist eine Enzymandauung der Paraffinschnitte einer hitzeinduzierten Epitopdemaskierung vorzuziehen, da diese zu einer stärkeren Färbung und einer geringeren Hintergrundfärbung durch Elastin führt.

Produkte

Produkte

END-L-CE
1ml NCL-L-END
PA0354
30ml CD34 Bond RTU Primary
PA0212
7ml CD34 Bond RTU Primary

Downloads

Downloads

END-L-CE

PA0354

PA0212

Zuletzt angesehen