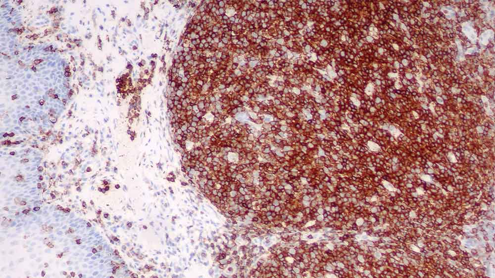
Human tonsil: immunohistochemical staining of CD45 or leukocyte common antigen (LCA) in various hematolymphoid cells. CD45: clone X16/99

CD45

Hintergrund des Antigens

Das CD45-Antigen (Leukocyte Common Antigen) bezeichnet eine Familie von mindestens fünf Glykoproteinen mit hohem Molekulargewicht, die auf der Oberfläche der Mehrzahl der humanen Leukozyten (darunter Lymphozyten, Monozyten und Eosinophile) vorhanden sind, in Erythrozyten und Thrombozyten aber fehlen.

Die verschiedenen Isoformen von CD45 entstehen durch alternatives Spleißen von drei Exonen. Die Expression von CD45 ist eine Voraussetzung für die Signalübertragung über den T-Zell-Rezeptor. NCL-LCA-RP enthält einen Cocktail aus zwei Antikörpern, nämlich Klon RP2/18 und Klon RP2/22.

In einigen Fällen kann die Färbung mit NCL-LCA-RP, NCL-L-LCA-RP and RTU-LCA-RP durch Verfahren zur hitzeinduzierten Epitopdemaskierung (heat induced epitope retrieval, HIER) verbessert werden.

Produkte

Produkte

LCA-L-CE
1ml NCL-L-LCA
PA0042
7ml CD45 Bond RTU Primary

Downloads

Downloads

LCA-L-CE

PA0042

Zuletzt angesehen