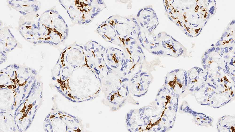
Human placenta: immunohistochemical staining for CD163. Note cytoplasmic staining of Hofbauer cells. CD163: clone 10D6

CD163

Hintergrund des Antigens

Das CD163-Molekül ist ein Membranprotein vom Typ I, das auch unter den Synonymen M130-Antigen, Ber-Mac3, Ki-M8 oder SM4 bekannt ist. Die Expression des CD163-Proteins beschränkt sich auf von Monozyten/Makrophagen abstammende Zellen.

Es soll auf allen zirkulierenden Monozyten und der Mehrzahl der Makrophagen im Gewebe, ausgenommen diejenigen in der Mantelzone, den Keimzentren von Lymphfollikeln, interdigitierenden Retikulumzellen und Langerhans-Zellen nachweisbar sein. Darüber hinaus ist von multinukleären Zellen in inflammatorischen Läsionen keine Expression des CD163-Proteins beschrieben.

Das Protein wird durch Glukokortikoide heraufreguliert und durch das Immunsuppressivum Cyclosporin A und durch Phorbolester herunterreguliert. Lipopolysaccharid, ein Entzündungsmediator, beeinflusst die Expression nicht.

Möglicherweise könnte ein spezieller Mechanismus der Freisetzung von löslichem CD163-Antigen durch humane Monozyten eine wesentliche Rolle bei der Modulierung von Entzündungsprozessen spielen.

Produkte

Produkte

CD163-L-CE
1ml NCL-L-CD163
PA0090
7ml CD163 Bond RTU Primary

Downloads

Downloads

CD163-L-CE

PA0090

Zuletzt angesehen