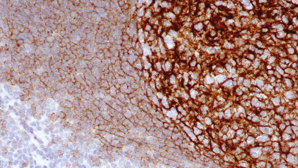
Human tonsil: immunohistochemical staining for CD21 antigen. Note intense membrane staining of follicular dendritic cells. CD21: clone 2G9

CD21

Das CD21-Antigen ist ein Membranglykoprotein vom Typ I mit einem Molekulargewicht von 140 kD, das als Rezeptor für das C3d-Fragment des dritten Komplementfaktors fungiert.

Das auf reifen B-Zellen vorhandene CD21-Molekül ist an der Übertragung wachstumsfördernder Signale in das Innere von B-Zellen beteiligt und agiert als Rezeptor für das Epstein-Barr-Virus. Das CD21-Antigen ist bei chronischen lymphatischen Leukämien vom B-Zell-Typ sowie einer Untergruppe von chronischen lymphatischen Leukämien vom T-Zell-Typ nachweisbar, fehlt aber auf T-Lymphozyten, Monozyten und Granulozyten. Es soll auch in follikulären dendritischen Zellen, bei follikulären Lymphomen und Mantelzell-Lymphomen sowie reifen Leukämien und Lymphomen exprimiert werden.

Produkte

Produkte

CD21-2G9-L-CE
1ml NCL-L-CD21-2G9
PA0171
7ml CD21 Bond RTU Primary

Downloads

Downloads

CD21-2G9-L-CE

PA0171

Zuletzt angesehen