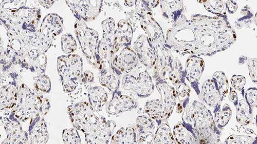
Human placenta: immunohistochemical staining for p57 protein. Note nuclear staining for cytotrophoblast and stromal cells of the villi. p57: clone 25B2
Human placenta: immunohistochemical staining for p57 protein. Note nuclear staining for cytotrophoblast and stromal cells of the villi. p57: clone 25B2
Kip2 (p57蛋白)
细胞周期蛋白依赖性激酶是细胞增殖的正调节剂。 p57蛋白作为肿瘤抑制剂起到对抗作用。它与其他CDKI密切相关,如p21蛋白(CIP1)和p27蛋白(Kip1),因为它们共有一个共同的结构N-末端结构域,可与CDK /细胞周期蛋白复合物结合并抑制其激酶活性。人p57蛋白存在于染色体11p15.5上,据报道该区域是某些肉瘤,Wilms肿瘤和与Beckwith-Wiedemann综合征相关的肿瘤中杂合性丧失的常见位点。人们越来越关注p57作为妊娠期疾病的标志物。妊娠滋养细胞疾病是指胎盘滋养层的一系列增殖性疾病,具有广泛的组织学表现和临床行为。最近由于早期临床诊断而对这些病变的组织学诊断标准的变化的最新发展已经回顾了Hui P等人,Advantages in Anatomical Pathology. 12(3):116-125(2005)讨论了由于引入了更新的抗体如p57而能够进行更准确诊断的能力。