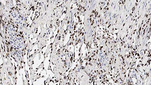
Human skin, Kaposi's sarcoma: immunohistochemical staining for HHV8. Note nuclear staining of neoplastic spindle cells. Human Herpesvirus 8: clone 13B10

Human Herpesvirus Type 8 (HHV8)

Antigen Background

Human herpesvirus type 8 (HHV8), is the proposed etiological agent of Kaposi's sarcoma (KS). It is reported that HHV8 has been demonstrated in KS tissues by immunohistochemistry, in situ PCR and also in situ hybridization. HHV8 encodes a latent nuclear antigen (LNA) which is the product of the viral gene ORF73. LNA is capable of forming a complex with retinoblastoma susceptibility gene product which may be related to its oncogenic activity. HHV8 has been reported to be expressed in multicentric Castleman's disease (MCD) and in angioimmunoblastic lymphadenopathies. The localization of HHV8 in subcapsular spindle cell proliferations, which is where early intranodal KS begins, and endothelial cells in Castleman's disease may explain the link between intranodal KS and MCD. In MCD, HHV8 is reported to be expressed in mantle zone large immunoblastic B cells.

Product Notification

PA0050 is for use with BDD v 75 for BOND Software version 5.1 and higher. Please contact your local Leica Biosystems Representative with any questions.

Disclaimer

Human Herpesvirus 8 (HHV8) is recommended for the detection of specific antigens of interest in normal and neoplastic tissues, as an adjunct to conventional histopathology using non-immunologic histochemical stains.

产品

产品

HHV8-LNA-L-CE
1ml NCL-L-HHV8-LNA
查看可用性
PA0050
7ml Herpesvirus(Type 8) (13B10) Bond RTU
查看可用性
HHV8-LNA-L-U
1ml NCL-L-HHV8-LNA
查看可用性

下载

下载

HHV8-LNA-L-CE

PA0050

HHV8-LNA-L-U

Recently Viewed