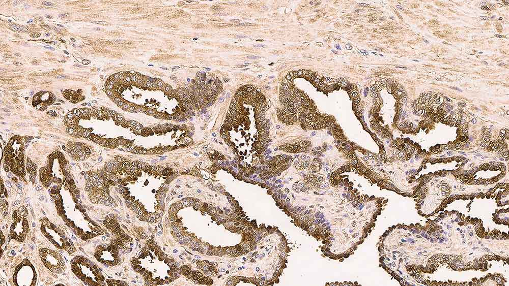
Prostate carcinoma: immunohistochemical staining of Galectin-3. Note the staining in the neoplastic cells and some staining in the stroma. Galectin-3: clone 9C4

半乳糖凝集素-3

半乳糖凝集素-3是β-半乳糖苷酶结合凝集素家族的成员。 它涉及几种生物学事件,包括与基底膜糖蛋白层粘连蛋白的结合。 细胞表面半乳糖凝集素-3可能参与同型细胞粘附,并随着疾病的进展在结肠癌中下调。在乳腺癌中也检查了这种下调,并且报道了相似的表达相关性。 半乳糖凝集素-3的下调可以是使癌细胞与层粘连蛋白相互作用以促进侵袭和转移的许多事件之一,并且可以指示在各种肿瘤类型中侵袭性表型的激活。

产品

产品

PA0238-U
7ml Galectin-3 Bond RTU Primary
查看可用性
PA0238
7ml Galectin-3 Bond RTU Primary
查看可用性

下载

下载

PA0238-U

PA0238

Recently Viewed