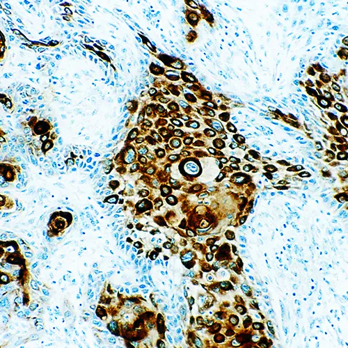
Human squamous cell carcinoma of the floor of the mouth: immunohistochemical staining for cytokeratins. Note intense cytoplasmic staining of malignant cells. Cytokeratin, Multi (5/6/8/18): clone 5D3/LP34

细胞角蛋白5、6、8、18

NCL-CK5/6/8/18、NCL-L-CK5/6/8/18和RTU-CK5/6/8/18与人类细胞角蛋白5、6、8和18发生反应。这些产品是用于识别细胞角蛋白的单克隆抗体的混合物,据报道,细胞角蛋白在几乎所有上皮组织中都有表达。

产品

产品

CK5/6/8/18-L
1ml NCL-L-CK5/6/8/18
查看可用性

下载

下载

CK5/6/8/18-L

Recently Viewed