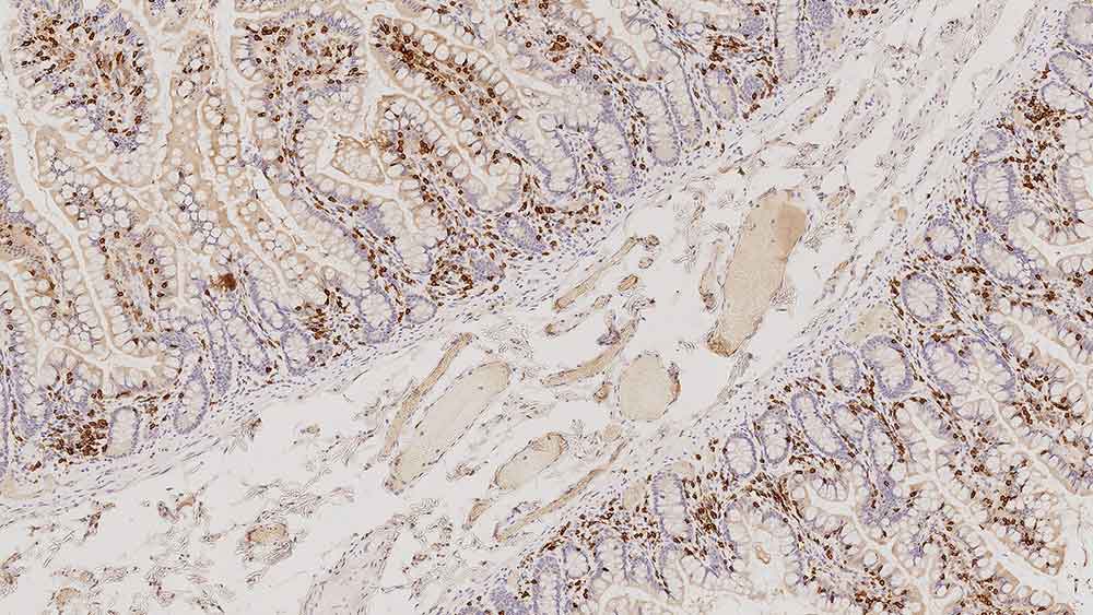
Human normal small bowel immunohistochemistry staining of CD103. Note membrane and cytoplasmic staining of Intraepithelial T lymphocytes. CD103: clone EP206

CD103

CD103,也称为αE整联蛋白和人粘膜淋巴细胞抗原1,是在上皮内T细胞和一些外周调节性T细胞上表达的整联蛋白。CD103在癌症中的肿瘤浸润性FOXP3阳性调节性T细胞中以高水平表达,并且CD103阳性T细胞与高级别浆液性卵巢癌中的患者存活率高度相关。已经提出CD103表达作为上皮内肿瘤特异性浸润淋巴细胞的确定标记。此外,还在一小部分乳腺癌中鉴定出CD103阳性细胞。

产品

产品

PA0374-U
7ml CD103 (EP206) Bond RTU Primary
查看可用性
PA0374
7ml CD103 (EP206) Bond RTU Primary
查看可用性

下载

下载

PA0374-U

PA0374

Recently Viewed