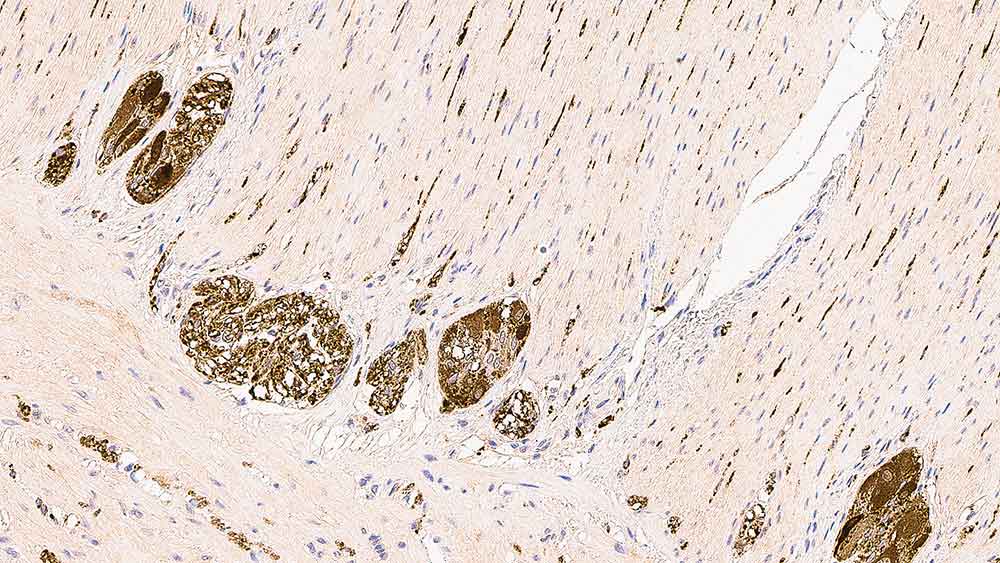
Human large bowel: immunohistochemical staining of Neuron Specific Enolase (NSE). Note the staining in the neuronal elements and the ganglia of the longitudinal and circular smooth muscle. Neuron Specific Enolase: clone 22C9

Neuron Specific Enolase

Antigen Background
Clone 22C9 reacts with the gamma-subunit of the enolase isoenzyme.

Disclaimer
Neuron Specific Enolase is recommended for the detection of specific antigens of interest in normal and neoplastic tissues, as an adjunct to conventional histopathology using non-immunologic histochemical stains.

产品

产品

PA0435
7ml NSE Bond RTU Primary

下载

下载

PA0435

Recently Viewed