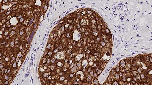
Human invasive ductal carcinoma of breast: immunohistochemical staining for AE1/AE3. Note the intense staining of malignant cells. Multi-Cytokeratin: clone AE1/AE3

Cytokeratin, Multi (AE1/AE3)

Antigen Background
Keratins are a family of water insoluble proteins of 40 to 70 kD. These proteins form tonofilaments, a class of intermediate filament, in epidermis as well as in almost all other epithelia. The process of normal epidermal differentiation is characterized by a series of morphological and biochemical changes as cells progress from the germinative basal layer through the spinous and granular layers to the outer cornified layer. The 65 to 67 kD cytokeratins are reported to be present only above the basal layer, the 58 kD cytokeratin is reported to be expressed throughout the entire epidermis including the basal layer and the 56 kD cytokeratin is reported to be absent from the basal layer and is normally eliminated during stratum corneum formation. The 56 and 65 to 67 kD cytokeratins are reported to be characteristic of epidermal cells undergoing terminal differentiation and may be considered as molecular markers for keratinization.

Product Specific Information
Clones AE1 and AE3 are specific for the 56.5, 50, 50', 48 and 40 kD acidic cytokeratins as well as the 65 to 67, 64, 59, 58, 56 and 52 kD basic cytokeratins. The cocktail of clones AE1 and AE3 exhibit broad reactivity with two families of cytokeratin, acidic and basic.

Disclaimer
Cytokeratin, Multi (AE1/AE3) is recommended for the detection of specific antigens of interest in normal and neoplastic tissues, as an adjunct to conventional histopathology using non-immunologic histochemical stains.

产品

产品

AE1/AE3-601-L-CE
1ml NCL-L-AE1/AE3-601
PA0909
7ml AE1/AE3 Bond RTU Primary

下载

下载

AE1/AE3-601-L-CE

PA0909

Recently Viewed