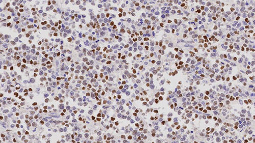
Human mantle cell lymphoma: nuclear staining of the malignant post-germinal B lymphocytes. Cyclin D1: clone EP12

Cyclin D1

Antigen Background

The D-type cyclins are a family of proteins which function primarily by regulating the activity of cyclin-dependent kinases in the G1 phase of the cell cycle. Cyclin D1, a protein of 36 kD, is also known as PRAD1 or bcl-1. Maximum expression of cyclin D1 occurs at a critical point in mid to late G1 phase of the cell cycle. The cyclin D1 gene, located on 11q13 has been reported to be overexpressed in mantle cell lymphomas due to the chromosomal translocation t(11;18).

Disclaimer

Cyclin D1 is recommended for the detection of specific antigens of interest in normal and neoplastic tissues, as an adjunct to conventional histopathology using non-immunologic histochemical stains.

产品

产品

CYCLIND1-GM-L-CE
1ml NCL-L-CYCLIND1-GM

下载

下载

CYCLIND1-GM-L-CE

Recently Viewed