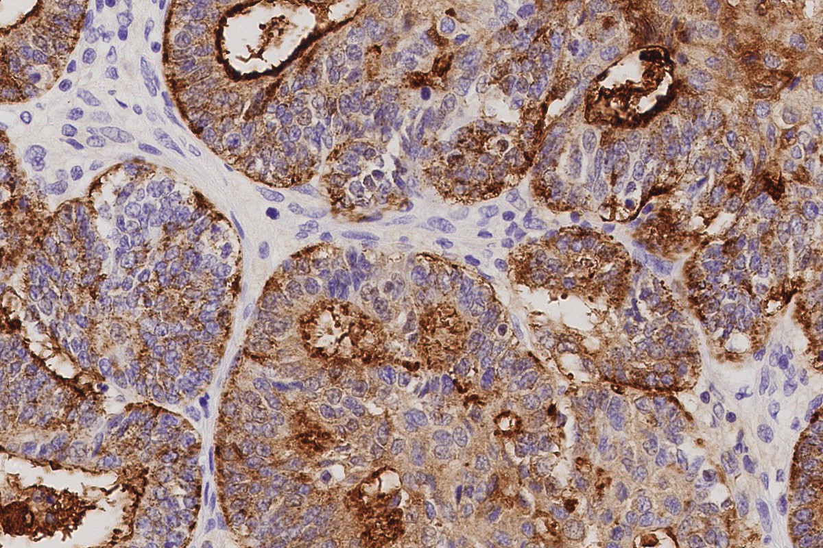
Human adenocarcinoma of endometrium: immunohistochemical staining on CA125. Note cytoplasmic and extracellular staining of malignant glandular endometrial cells. CA125: clone Ov185:1

CA125

Antigen Background

CA125 antigen is usually associated with ovarian epithelial malignancies. Serum assays are widely used to detect this protein in the monitoring of ovarian cancers. CA125 antigen may also be detected by immunohistochemistry and expression has been found in neoplasms such as seminal vesicle carcinoma and anaplastic lymphoma. CA125 antigen is not found exclusively in malignant tumors. CA125 is also known as MUC16.

Disclaimer

CA125 (Ovarian Cancer Antigen) is recommended for the detection of specific antigens of interest in normal and neoplastic tissues, as an adjunct to conventional histopathology using non-immunologic histochemical stains.

产品

产品

CA125-L-CE
1ml NCL-L-CA125
PA0539
7ml CA125 Bond RTU Primary

下载

下载

CA125-L-CE

PA0539

Recently Viewed