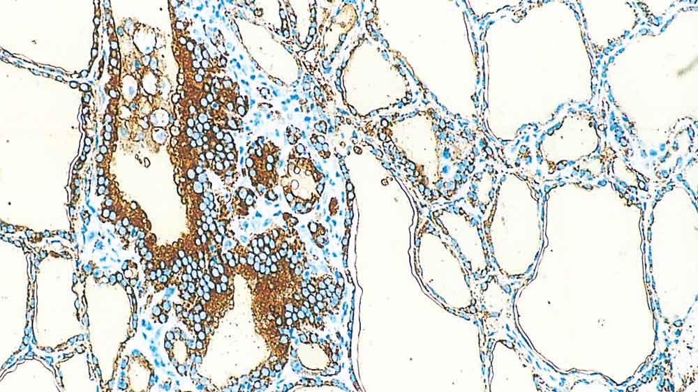
Human Thyriod: immunohistochemical staining of Thyroglobulin in the follicular epithelial cells. Thyroglobulin: clone 1D4

Thyroglobulin

Antigen Background

Thyroglobulin is a heavily glycosylated protein of 670 kDa composed of two identical subunits and is synthesized by the follicular epithelial cells of the thyroid. Thyroglobulin provides iodination sites for the formation of the thyroid hormones.

产品

产品

THY-L
1ml NCL-L-THY

下载

下载

THY-L

Recently Viewed