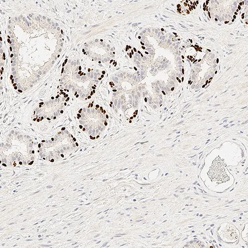
Human prostate: immunohistochemical staining for p63. p63: clone 7JUL

p63 Protein

Antigen Background
p63 is a nuclear transcription factor, reported to be expressed in a number of normal tissues including proliferating cells of the epithelium, cervix, urothelium and prostate. p63 is also reported to be expressed in most poorly differentiated squamous cell carcinomas.


Disclaimer

p63 Protein is recommended for the detection of specific antigens of interest in normal and neoplastic tissues, as an adjunct to conventional histopathology using non-immunologic histochemical stains.

产品

产品

P63-L-CE
1ml NCL-L-p63
PA0103
7ml p63 Bond RTU Primary

下载

下载

Recently Viewed