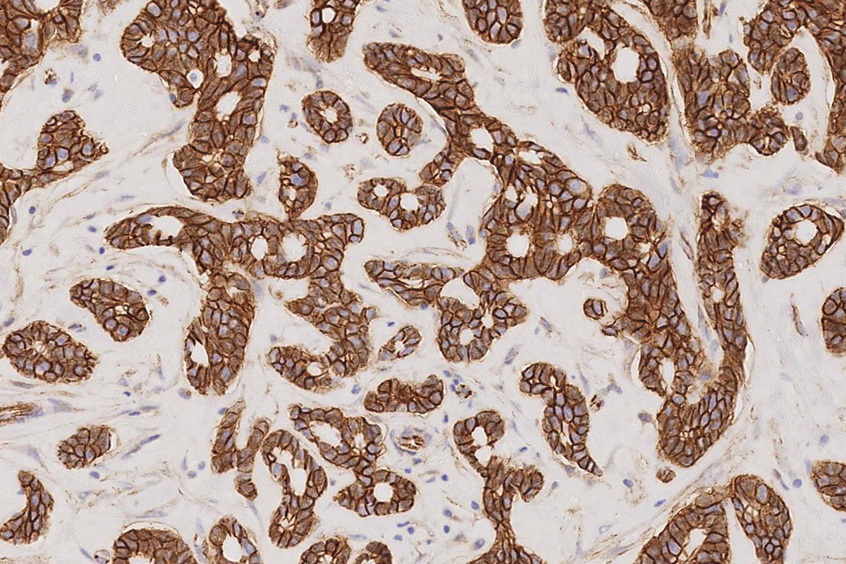
Human breast carcinoma: immunohistochemical staining for p120 Catenin antigen. Note membrane and cytoplasmic staining of malignant cells. p120 Catenin: clone EP66

P120 Catenin

Antigen Background

p120 Catenin is a regulator of cell-cell adhesion, achieved through interaction with classical and Type II cadherins. Evidence also exists for a role in the regulation of cadherin availability on the cell surface. p120 Catenin also regulates actin dynamics, placing it as a potential master regulator of the cell motility/cell adhesion phenotypes.
Recent studies have suggested a tumor-suppression role for p120, with loss of p120 expression implicated in the development of a tumor microenvironment and induction of metastatic progression. The expression of p120 Catenin has been highlighted in early lobular breast neoplasias.

Disclaimer

p120 Catenin is recommended for the detection of specific antigens of interest in normal and neoplastic tissues, as an adjunct to conventional histopathology using non-immunologic histochemical stains.

产品

产品

PA0379
7ml p120 Catenin (EP66) Bond RTU Primary

下载

下载

PA0379

Recently Viewed