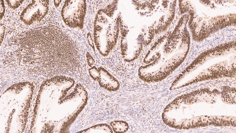
Colorectal carcinoma: immunohistochemical staining for mismatch repair protein (MLH1). Note nuclear staining in a high proportion of the malignant cells. Mismatch Repair Protein (MLH1): clone ES05.

Mismatch Repair Protein (MLH1)

Antigen Background

MLH1, a mismatch repair protein involved in maintaining the integrity of genetic information, alongside MSH2, MSH6 and PMS2. During DNA replication, strand misalignment can occur resulting in alterations to microsatellite repeats, often referred to as microsatellite instability (MSI). These defects in DNA repair pathways have been linked to human carcinogenesis. Mutations in the MLH1 gene have been reported to be found in some forms of colon cancer, a subset of sporadic carcinomas and breast cancer. Loss of expression of MLH1 has also been reported in acute lymphoblastic leukemia, endometrial carcinoma, gastric carcinoma and ovarian carcinoma.

Disclaimer

Mismatch Repair Protein (MLH1) is a recommended for the detection of specific antigens of interest in normal and neoplastic tissue, as an adjunct to conventional histopathology using non-immunologic histochemical stains.

产品

产品

MLH1-L-CE
1ml NCL-L-MLH1
PA0988
7ml MLH1 (ES05) Bond RTU Primary

下载

下载

MLH1-L-CE

PA0988

Recently Viewed