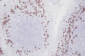
Human low grade mucosa associated lymphoma of thyroid:in situ hybridization for lambda mRNA using the lambda probe.Paraffin section.

BOND Lambda 探针

Lambda Probe与Kappa Probe一起用于检测福尔马林固定,石蜡包埋组织中产生抗体的B细胞。 B细胞肿瘤被认为来自单个转化细胞(单克隆),而反应性状态导致许多B细胞增殖(多克隆)。 由于来自相同B细胞的免疫球蛋白含有κ或λ轻链,因此可以使用轻链限制或单克隆来区分反应性和肿瘤性B细胞增殖。

产品

产品

PB0669
5.5 ml Bond Lambda Probe

下载

下载

PB0669

Recently Viewed