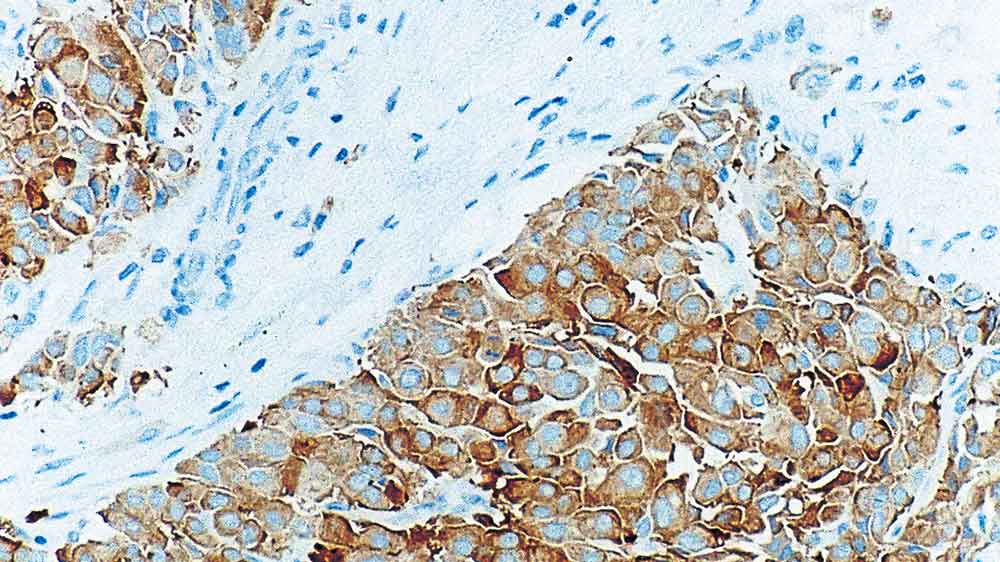
Breast carcinoma showing neuroendocrine differentiation: immunohistochemical staining for Synaptophysin. Note cytoplasmic staining of tumor cells. Synaptophysin: clone 27G12

突触素

突触素是一种完整的膜糖蛋白,分子量为38kD。据报道,它出现在大脑、脊髓、视网膜的突触前小泡,也出现在类似的肾上腺髓质小泡以及神经肌肉连接点。突触素可能参与突触囊泡的形成和胞吐。突触素在神经内分泌肿瘤中广泛表达,包括神经母细胞瘤、神经节神经母细胞瘤、嗜铬细胞瘤和非嗜铬细胞副神经节瘤。突触素在上皮型神经内分泌肿瘤中也有表达,包括垂体腺瘤、胰岛细胞瘤、甲状腺髓样癌、甲状旁腺瘤、支气管肺和胃肠道类癌、支气管肺和胃肠道神经内分泌癌以及皮肤神经内分泌癌。

产品

产品

SYNAP-299-L-CE
1ml NCL-L-SYNAP-299
PA0299
7ml Synaptoph Bond RTU Primary
PA0299-CN
7mL Synaptophysin BOND RTU (China)

下载

下载

SYNAP-299-L-CE

PA0299

PA0299-CN

Recently Viewed