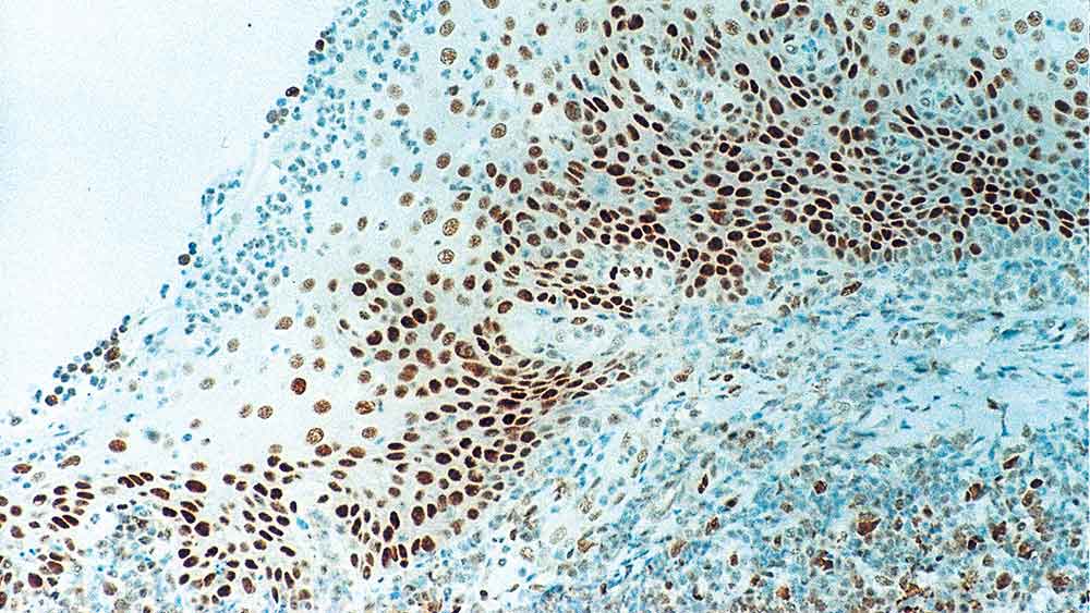
Human tonsil: immunohistochemical staining for Retinoblastoma Gene Protein. Note intense nuclear staining of epithelial cells. Retinoblastoma Gene Protein: clone 13A10

视网膜母细胞瘤基因蛋白

视网膜母细胞瘤(Rb)是一种罕见的视网膜肿瘤,与13号染色体突变有关。Rb抑癌基因编码的核磷酸化蛋白存在于许多细胞中,可能通过激活转录因子ATF-2间接调控细胞生长。激活ATF-2发起的TGF-β2的表达,进而影响细胞生长抑制基因转录。Rb基因的双侧突变可能在多种恶性肿瘤的发生发展中起重要作用。产物特异性信息NCL-RB-358被提至Rb基因蛋白的n端区域。

产品

产品

RB-358-L
1ml NCL-L-RB-358

下载

下载

RB-358-L

Recently Viewed