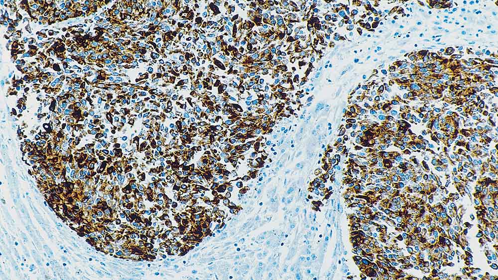
Human prostate: immunohistochemical staining for Prostate Specific Membrane Antigen (PSMA): clone 1D6 

前列腺特异性膜抗原

前列腺特异性膜抗原(PSMA)以750个氨基酸糖蛋白的形式表达,但也可能以PSM'的形式表达,PSM'是缺失前57个氨基酸的蛋白的一种形式。PSMA具有两种酶活性,一种是前列腺特异性整体膜叶酸水解酶,另一种是羧肽酶。报告显示PSMA表达可能与肿瘤负荷相关,并可作为转移受累的指标。PSMA的细胞定位与前列腺特异性抗原(PSA)和前列腺酸磷酸酶(PAP)的细胞定位形成鲜明对比。

产品

产品

PSMA-L
1ml NCL-L-PSMA

下载

下载

PSMA-L

Recently Viewed