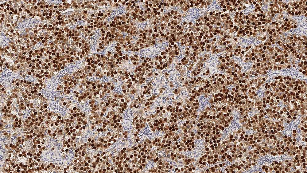
Human testes, seminoma: immunohistochemical staining for Oct-3/4. Note nuclear staining of neoplastic cells. Oct-3/4: clone N1NK

鼠抗人八聚体结合转录因子3/4

Oct3/4是POU同源域转录因子家族的成员,由胚胎干细胞和生殖细胞表达。维持干细胞自我复制需要一定数量的oct3/4。下调Oct3/4水平与多能性丧失有关。Oct3/4被认为是具有多能性特征的生殖细胞肿瘤的一个有用的标记物,包括精原细胞瘤/无性生殖细胞瘤/生殖细胞瘤和胚胎癌,并为一些不确定原发肿瘤的转移确定了生殖细胞来源。

产品

产品

OCT3/4-L-CE
1ml NCL-L-OCT3/4
PA0193
7ml Oct-3/4 (N1NK) Bond RTU Primary
PA0934
7ml Oct-3/4 Bond RTU Primary
PA0193-CN
7mL Oct-3/4 (N1NK) BOND RTU (China)

下载

下载

OCT3/4-L-CE

PA0193

PA0934

PA0193-CN

SDS

Recently Viewed