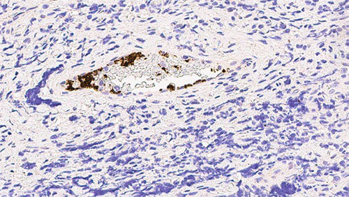
Human skin, melanoma: immunohistochemical staining for Melan A. Note the melanoma showing cytoplasmic staining of tumor cells. Melan A: clone A103

Melan A

Melan A是mat -1基因的产物,是一种被自体细胞毒性T淋巴细胞识别的黑色素细胞分化标志物。据报道,其他经自体细胞毒性T细胞识别的黑色素瘤相关标志物包括MAGE-1、MAGE-3、酪氨酸酶、gp100、gp75、BAGE-1和GAGE-1。分析这些不同的分子及其在个体黑色素瘤中的表达可能有助于研究它们在黑色素细胞分化和肿瘤形成中特殊的分子作用。

产品

产品

MELANA-L-CE
1ml NCL-L-MelanA
PA0044
30ml Melan A Bond RTU Primary
PA0233
7ml Melan A Bond RTU Primary
PA0233-CN
7mL MelanA BOND RTU (China)

下载

下载

MELANA-L-CE

PA0044

PA0233

PA0233-CN

SDS

Recently Viewed