Human placenta: immunohistochemical staining with Human Chorionic Gonadotrophin (beta): Polyclonal

人绒毛膜促性腺激素(β)

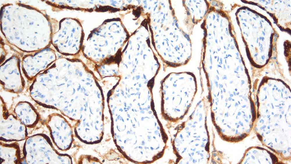
人绒毛膜促性腺激素(hCG)是胎盘的滋养细胞在受孕后10至12天开始产生的糖蛋白激素。 在怀孕的前三个月维持胎儿需要产生hCG,其与卵巢的黄体结合,其被刺激产生黄体酮,而黄体酮又维持分泌性子宫内膜。 hCG由两个亚基组成,α和β。 hCG的α亚基与促黄体激素,促甲状腺激素和促卵泡激素的亚基相同。共同的α链和激素特异性β链分别具有14kD和17kD的分子量.hCGβ-亚基在含有β的糖蛋白激素家族中是独特的,因为它含有29个氨基酸的延伸,在COOH端。 HCG-β亚基的C末端区域在异二聚体的细胞内行为中起作用。 NCL-HCGp培养至人绒毛膜促性腺激素的分离的β链并与胎盘滋养细胞反应。 NCL-HCGp显示与促黄体激素的轻微交叉反应,因此可能染色垂体中的嗜碱性粒细胞。

产品

产品

PA0014
7ml HCG Bond RTU Primary
PA0014-CN
7mL HCG (Poly) BOND RTU (China)

下载

下载

PA0014

PA0014-CN

SDS

Recently Viewed