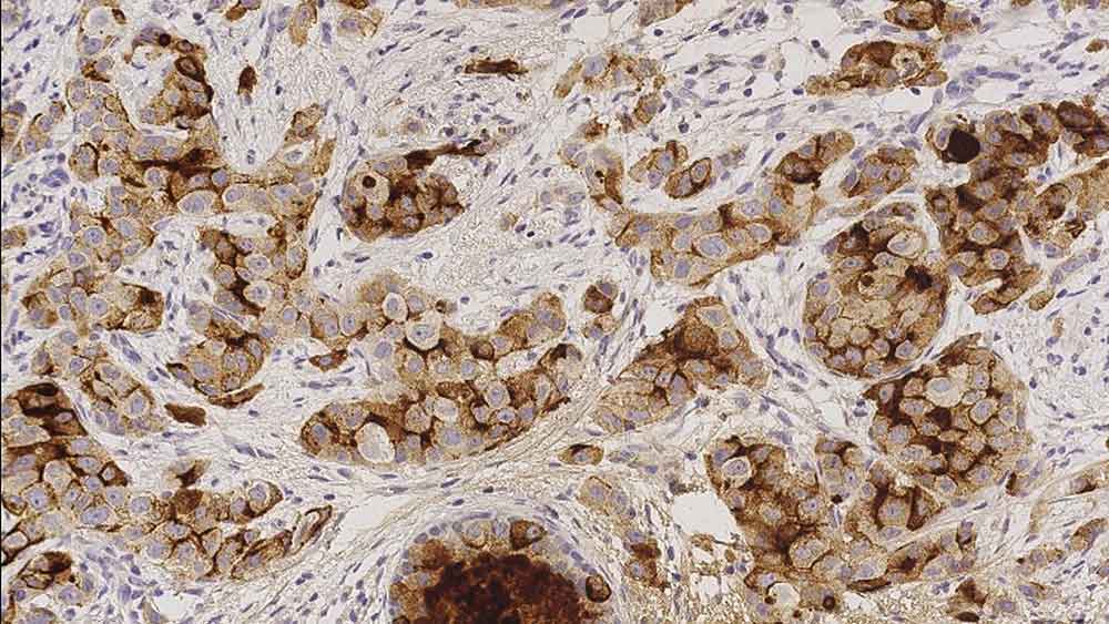
Invasive breast carcinoma: immunohistochemical staining for Gross Cystic Disease Fluid Protein-15. Note the cytoplasmic staining in tumor cells. Gross Cystic Disease Fluid Protein-15: clone 23A3

毛囊性疾病液体蛋白-15

乳腺大囊性疾病是一种良性的绝经前疾病,其中囊肿是主要的病理病变。这些囊肿似乎是由过多的顶浆细胞囊性分泌物形成的。这种液体由几种糖蛋白组成,包括一种独特的15kd单体蛋白GCDFP15。据报道,对所有主要器官的正常组织的细胞学分析显示,GCDFP15存在于顶浆上皮、泪腺、宫颈和Moll腺,以及下颌下、气管、支气管、舌下和小唾液腺的大量浆液细胞中。据报道,从乳腺癌病变中提取的细胞质含有多种浓度的GCDFP15。据报道,该浓度在分化程度较高的癌中最高,而正常乳腺中,GCDFP15仅在小叶和小导管内显示少量阳性的单个上皮细胞。在顶浆细胞化生区域的纤维腺瘤中也有表达。

产品

产品

GCDFP15-L-CE
1ml NCL-L-GCDFP15
PA0708
7ml GCDFP15 Bond RTU Primary
PA0708-CN
7mL GCDFP15 BOND RTU (China)

下载

下载

GCDFP15-L-CE

PA0708

PA0708-CN

Recently Viewed