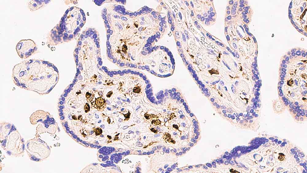
Human placenta: immunohistochemical staining of Factor XIIIa localized in the Hofbauer cells of the placental villi. Factor XIIIa (Blood Coagulation Factor XIIIa): clone E980.1
Human placenta: immunohistochemical staining of Factor XIIIa localized in the Hofbauer cells of the placental villi. Factor XIIIa (Blood Coagulation Factor XIIIa): clone E980.1
Due to manufacturing & supply chain issues, this product is currently unavailable. You may place your order and it will be fulfilled when the product is back in stock. For more help, please reach out to customer service at +1 844 534 2262 or nonurgentcs@leicabiosystems.com
Product is limited in stock
Product availability is limited, but products are in continuous production. Your order will be processed as normal and may take additional days to ship.