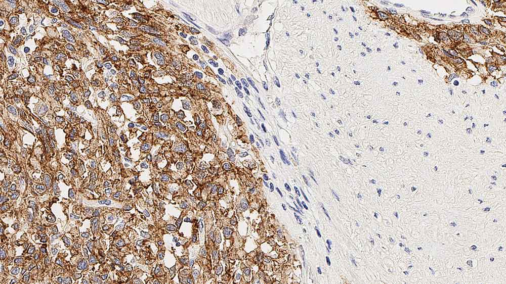
Human colon, gastrointestinal stromal tumor: immunohistochemical staining for DOG-1. Note membrane staining of neoplastic cells. DOG-1: clone K9

dog-1

DOG-1是一种功能未知的986氨基酸蛋白,主要在胃肠道间质瘤(GISTs)的质膜上表达,在其他软组织肿瘤中很少表达,由于其外观可与GISTs混淆。DOG-1的反应性被认为有助于识别GISTs,包括血小板衍生生长因子受体α突变体,这些突变体不能表达试剂盒抗原。使用基于PBS的稀释液可能会增加背景染色。

产品

产品

DOG-1-L-CE
1ml NCL-L-DOG-1
PA0219
7ml DOG-1 Bond RTU Primary
PA0219-CN
7mL DOG-1 BOND RTU (China)

下载

下载

DOG-1-L-CE

PA0219

PA0219-CN

SDS

Recently Viewed