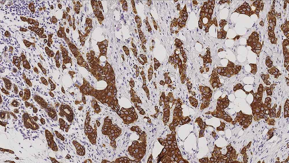
Invasive breast carcinoma: immunohistochemical staining for Cytokeratin 7. Note the intense staining of invasive tumor cells. Cytokeratin 7: clone RN7

细胞角蛋白7

细胞角蛋白是上皮细胞中存在的中间丝蛋白。它们在正常器官和由此产生的肿瘤中以组织特异性的方式表达。细胞角蛋白7属于细胞角蛋白的中性碱性B亚型。其分布局限于腺上皮和移行上皮。细胞角蛋白7在体外培养的支气管和间皮细胞中表达丰富,但仅在体外培养的表皮细胞中表达较低。预测的角蛋白氨基酸序列显示,该角蛋白与表皮细胞中表达的II型角蛋白之间存在显著差异。细胞角蛋白7在肺癌、乳腺癌、子宫内膜癌、卵巢癌、甲状腺癌以及膀胱癌和嫌色性肾细胞癌中均有报道。细胞角蛋白7和细胞角蛋白20在原发性和转移性肺及结直肠腺癌中的表达具有特征性。克隆OV-TL 12/30可以产生内皮细胞不需要的染色,克隆RN7不会染色这些细胞类型。决定克隆OV-TL 12/30的最佳结果的表位修复、热修复或酶修复的选择应由用户决定。克隆RN7和OV-TL 12/30与人细胞角蛋白中间丝蛋白(54 kD)发生反应,该蛋白被鉴定为细胞角蛋白7。

产品

产品

CK7-560-L-CE
1ml NCL-L-CK7-560
CK7-OVTL-L-CE
1ml NCL-L-CK7-OVTL
PA0138
30ml Cytokeratin 7 Bond RTU Primary
PA0942-CN
7mL Cytokeratin 7 (RN7) BOND RTU (China)

下载

下载

CK7-560-L-CE

CK7-OVTL-L-CE

PA0138

PA0942-CN

Recently Viewed