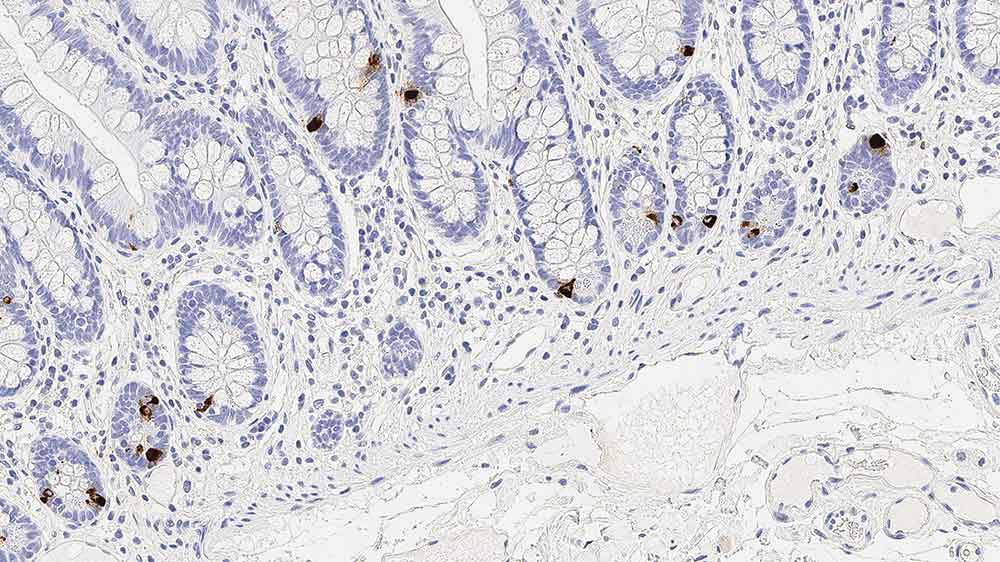
Human small bowel: immunohistochemical staining for Chromogranin A. Note cytoplasmic staining of neuroedocrine cells. Chromogranin A: clone 5H7

Chromogranin A

Chromogranin A是一种68 kD的酸性蛋白,报道广泛表达于神经组织和人类内分泌细胞分泌颗粒中,如甲状旁腺、肾上腺髓质、垂体前叶、胰腺胰岛细胞和甲状腺C细胞。嗜铬颗粒蛋白A在垂体腺瘤、胰岛细胞瘤、嗜铬细胞瘤、甲状腺髓样癌、梅氏细胞瘤、类癌等神经内分泌肿瘤中均有表达。

产品

产品

CHROM-430-L-CE
1ml NCL-L-CHROM-430
PA0515
7ml ChromograninA (5H7) Bond RTU Primary
PA0515-CN
7mL ChromograninA (5H7) BOND RTU (China)

下载

下载

CHROM-430-L-CE

PA0515

PA0515-CN

Recently Viewed