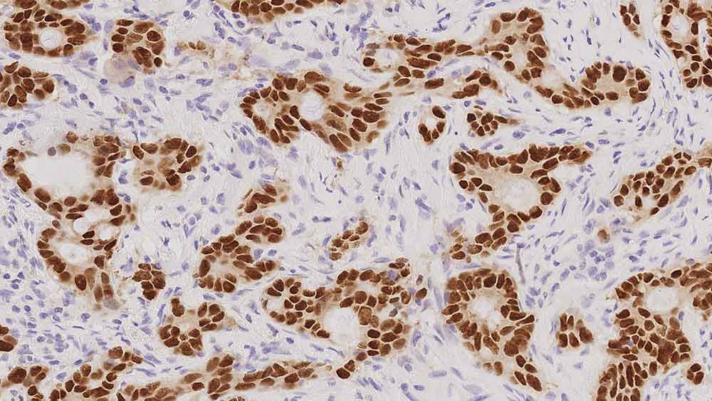
Human colonic adenocarcinoma: immunohistochemical staining for CDX2. Note the nuclear and cytoplasmic staining of malignant cells. CDX2: clone EP25

CDX2

CDX2是尾型同位序列,肠道特异性转录因子在肠发育早期表达,并且可能参与肠上皮细胞的增殖和分化的调节。CDX2以及CDX1特别令人感兴趣,因为肠是唯一含有可检测水平基因产物的器官。同位序列基因的这种限制性表达模式是不寻常的。CDX2激活结构域的磷酸化可以调节其功能和肠上皮中的不同空间表达模式。CDX2主要在绒毛表面和隐窝中表达。与CDX1相反,据报道,在发育中的肠的远端部分以外的所有部分都发生强烈的CDX2表达。据报道,CDX2的丢失有助于一些散发性结直肠癌的进展。据报道,CDX2也可能与胃癌的发生有关,因为CDX2 mRNA的表达随着从高分化的胃癌细胞系向低分化的胃癌细胞系的转变而逐渐降低。

产品

产品

PA0375
7ml CDX2 (EP25) Bond RTU Primary
PA0375-CN
7mL CDX2 (EP25) BOND RTU (China)

下载

下载

PA0375

PA0375-CN

SDS

Recently Viewed