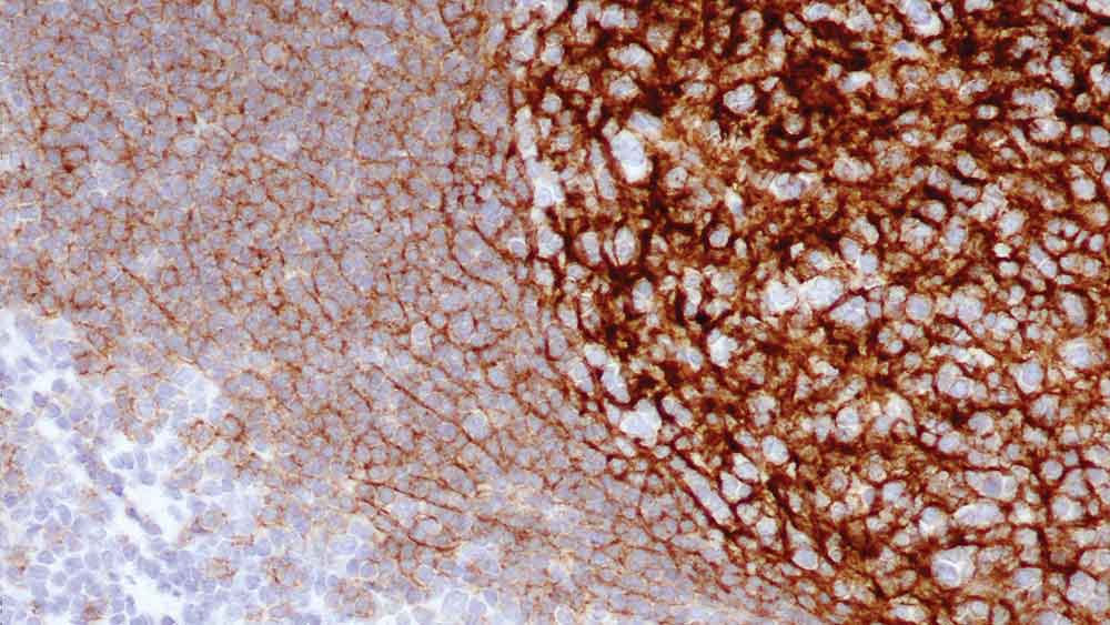
Human tonsil: immunohistochemical staining for CD21 antigen. Note intense membrane staining of follicular dendritic cells. CD21: clone 2G9

CD21

CD21抗原是分子量为140kD的I型完整膜糖蛋白,是第三补体组分C3D片段的受体。存在于成熟B细胞上的CD21分子参与将生长促进信号传递到B细胞内部并且充当Epstein-Barr病毒的受体。据报道,CD21抗原存在于B细胞慢性淋巴细胞白血病和T细胞急性淋巴细胞白血病的子集中,但在T淋巴细胞,单核细胞和粒细胞上不存在。还报道了CD21抗原在滤泡树突细胞、滤泡和套细胞淋巴瘤,成熟白血病和淋巴瘤中表达。

产品

产品

CD21-2G9-L-CE
1ml NCL-L-CD21-2G9
PA0171
7ml CD21 Bond RTU Primary
PA0171-CN
7mL CD21 BOND RTU (China)

下载

下载

CD21-2G9-L-CE

PA0171

PA0171-CN

SDS

Recently Viewed