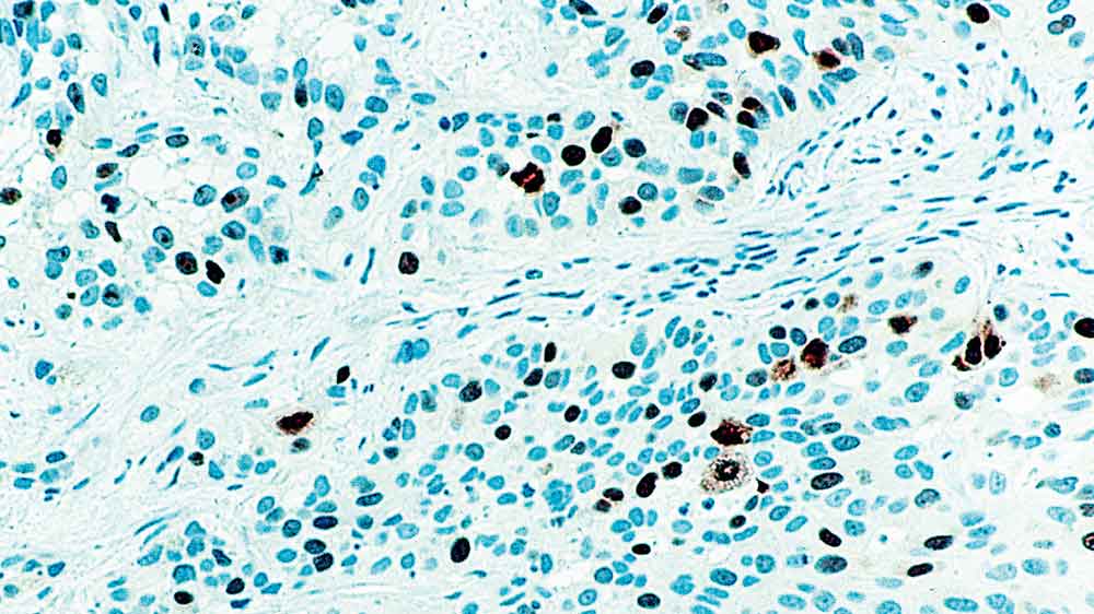
Human bladder tumor: immunohistochemical staining for Topoisomerase II alpha. Note intense nuclear staining of malignant cells and occasional mitotic figures. Topoisomerase II Alpha: clone 3F6

Topoisomerase II Alpha

Antigen Background

Topoisomerase II alpha is an essential nuclear enzyme involved in DNA replication and is a target for many anti-cancer drugs used for cancer therapy. Decreased expression of topoisomerase II alpha is the predominant mechanism of resistance to several chemotherapeutic agents. A significant variation in the range of expression of this protein has been reported in many different tumors. Reports of the analysis of primary breast tumors have indicated that topoisomerase II beta is more widely expressed than topoisomerase II alpha. Topoisomerase II alpha expression and activity is linked to the cell cycle and is associated with the proliferation status of cells.


Disclaimer

Topoisomerase II Alpha is recommended for the detection of specific antigens of interest in normal and neoplastic tissues, as an adjunct to conventional histopathology using non-immunologic histochemical stains.

LOG IN to check your price,
or REQUEST a bulk quote.

Products

Products

TOPOIIA-L-U
Topoisomerase II Alpha, Liquid Concentrate (1ml)
Limited Stock (More Details)
Ships via Overnight
LOG IN to check your price,
or REQUEST a bulk quote.

Downloads

Downloads

TOPOIIA-L-U

Recently Viewed