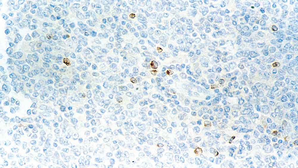
Human follicular lymphoma: immunohistochemical staining for Perforin. Note focal granular staining of occasional cytotoxic T lymphocytes. Perforin: clone 5B10

Perforin

Antigen Background
Perforin is a pore-forming protein found in cytoplasmic granules of cytotoxic T-lymphocytes (CTLs). CTLs bind to cells which express foreign antigens and induce them to lyze. Perforin forms circular lesions on the target cell membrane similar to those induced by complement. Perforin and C9 share a high degree of homology particularly at the membrane spanning region. Perforin is reported to be constitutively expressed in human CD3 negative, CD56 positive NK cells, CD3 positive large granular lymphocytes and gamma/delta T cells. This expression is significantly induced in CD8 positive T cells but to a lesser extent in gamma/delta T cells and NK cells. The induction of perforin mRNA is partially blocked by the immunosuppressive drug cyclosporin A.

Disclaimer
Perforin is recommended for the detection of specific antigens of interest in normal and neoplastic tissues, as an adjunct to conventional histopathology using non-immunologic histochemical stains.

LOG IN to check your price,
or REQUEST a bulk quote.

Products

Products

PERFORIN-L-U
Perforin, Liquid Concentrate (1ml)
Limited Stock (More Details)
Ships via Overnight
LOG IN to check your price,
or REQUEST a bulk quote.

Downloads

Downloads

PERFORIN-L-U

Recently Viewed