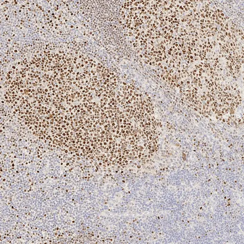
Human tonsil: immunohistochemical staining for Oct-2. Note strong staining of germinal centre B-cells. Oct-2: clone Oct-207

Oct-2

Antigen Background
Oct-2 is a transcription factor belonging to the POU homeo domain family that binds to the Ig gene octamer sites regulating B-cell-specific genes. It is dependent on the activity of B cell restricted coactivators such as BOB.1/OBF.1. Oct-2 protein expression is not restricted to B cells, although expression levels are much higher in these cells. Reports indicate that germinal center B cells show higher expression for Oct-2 and BOB.1/OBF.1. In addition, Oct-2 expression is reported to be significantly greater in germinal center derived lymphomas, although other B cell lymphomas also display high levels of expression. Reed-Sternberg (RS) cells represent the malignant cells in classical Hodgkin's disease and are derived from germinal center B cells. In a number of these cases, cells do not express immunoglobulin due to the presence of crippling mutations within the Ig genes. As Ig gene expression in B cells also requires an interaction between octamer sites and the transactivating factors Oct-2 and BOB.1, the absence of both Oct-2 and BOB.1 expression represents a novel mechanism for immunoglobulin gene deregulation in RS cells.

Disclaimer
Oct-2 is recommended for the detection of specific antigens of interest in normal and neoplastic tissue, as an adjunct to conventional histopathology using non-immunologic histochemical stains.

LOG IN to check your price,
or REQUEST a bulk quote.
Please be advised we have recently updated our product codes for many Advanced Staining Reagents. We ask that you please update your records at this time.

Please see here for more information

Products

Products

PA0532-U
7ml Oct-2 Bond RTU Primary
In Stock
Ships via Overnight
LOG IN to check your price,
or REQUEST a bulk quote.

Downloads

Downloads

PA0532-U

Recently Viewed