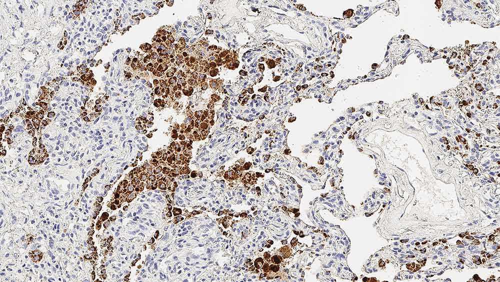
Human lung: immunohistochemical staining for Napsin A. Note cytoplasmic staining of pneumocytes and alveolar macrophages. Napsin A: clone IP64

Napsin A

Antigen Background

Napsin A has a specific function in normal alveolar epithelium and is proposed to play a role in the proteolytic processing of surfactant precursors.

Napsin A is reported to be predominantly expressed in lamellar bodies of type II pneumocytes, secondary lysosomes of alveolar macrophages, respiratory epithelium of terminal and respiratory bronchioles, plasma cells, within a subset of lymphocytes in normal lung, as well as in epithelial cells of renal tubules in normal kidney and is weakly expressed in normal spleen.

Studies have reported that Napsin A is expressed in 90% of primary lung adenocarcinomas.


Disclaimer

Napsin A is recommended for the detection of specific antigens of interest in normal and neoplastic tissues, as an adjunct to conventional histopathology using non-immunologic histochemical stains.

LOG IN to check your price,
or REQUEST a bulk quote.
Please be advised we have recently updated our product codes for many Advanced Staining Reagents. We ask that you please update your records at this time.

Please see here for more information

Products

Products

PA0064-U
7ml Napsin A (IP64) Bond RTU Primary
In Stock
Ships via Overnight
LOG IN to check your price,
or REQUEST a bulk quote.
NAPSINA-L-U
Napsin A, Liquid Concentrate (1ml)
In Stock
Ships via Overnight
LOG IN to check your price,
or REQUEST a bulk quote.

Downloads

Downloads

PA0064-U

NAPSINA-L-U

Recently Viewed