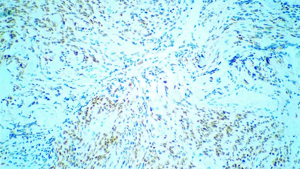
Human rhabdomyosarcoma: immunohistochemical staining for MyoD1 protein. Note staining of a proportion of tumor cell nuclei. MyoD1: clone 5.8A

MyoD1 (Rhabdomyosarcoma Marker)

Antigen Background
MyoD1 recognizes an epitope near the C-terminus of the MyoD1 protein (amino acids 180 to 189).

Disclaimer
MyoD1 (Rhabdomyosarcoma Marker) is recommended for the detection of specific antigens of interest in normal and neoplastic tissues, as an adjunct to conventional histopathology using non-immunologic histochemical stains.

LOG IN to check your price,
or REQUEST a bulk quote.

Products

Products

MYOD1-L-U
RUO - PDGFRB Break, RTU
Limited Stock (More Details)
Ships via Overnight
LOG IN to check your price,
or REQUEST a bulk quote.

Downloads

Downloads

MYOD1-L-U

Recently Viewed