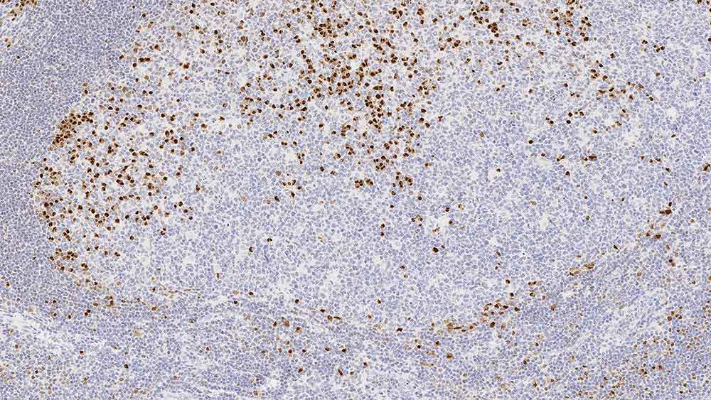
Human tonsil: immunohistochemical staining for MUM-1. Note nuclear staining of B cells showing lymphoplasmacytic differentiation. Multiple Myeloma Oncogene 1: clone EAU32

Multiple Myeloma Oncogene 1 (MUM-1)

Antigen Background

The MUM-1 (multiple myeloma oncogene 1) gene was originally identified because of its involvement in the t(6:14) translocation observed in multiple myeloma, which causes the juxtaposition of the MUM-1 gene to the Ig heavy chain locus. MUM-1 is expressed in late plasma cell directed stages of B cell differentiation and in activated T cells, suggesting that MUM-1 may serve as a marker for lympho-hemopoietic neoplasms derived from these cells. The morphologic spectrum of MUM-1 expressing cells has been found to range from that of a centrocyte to that of a plasmablast/plasma cell. Consequently, the histogenic value of MUM-1 may be to provide a marker to aid in the identification of the transition from BCL-6 positive (germinal center B cells) to CD138 positive (immunoblasts and plasma cells).

Disclaimer

Multiple Myeloma Oncogene 1 (MUM-1) is recommended for the detection of specific antigens of interest in normal and neoplastic tissues, as an adjunct to conventional histopathology using non-immunologic histochemical stains.

LOG IN to check your price,
or REQUEST a bulk quote.
Please be advised we have recently updated our product codes for many Advanced Staining Reagents. We ask that you please update your records at this time.

Please see here for more information

Products

Products

MUM1-L-U
Multiple Myeloma Oncogene 1, Liquid Concentrate (1ml)
In Stock
Ships via Overnight
LOG IN to check your price,
or REQUEST a bulk quote.
PA0129-U
7ml MUM1 Bond RTU Primary
In Stock
Ships via Overnight
LOG IN to check your price,
or REQUEST a bulk quote.

Downloads

Downloads

MUM1-L-U

PA0129-U

Recently Viewed